Como surge o câncer: visão da Germânica Heilkunde
O estudo sobre o câncer fez parte da vida de Dr. Hamer, que descobriu a prova da conexão mente e corpo, e como surge o câncer.
Através desse artigo, vou esclarecer sobre as pesquisas de Dr. Hamer em relação a origem do câncer.
Dr. Hamer confirmou, em mais de 40.000 estudos de caso desde 1981, que um conflito biológico cria uma sequência de eventos que afetam simultaneamente a psique, cérebro e órgão.
O médico descobriu também que tipos específicos de conflitos criaram estados de doença específicos, como câncer de mama, câncer de ovário, leucemia, eczema, psoríase, câncer de colo do útero, câncer de próstata e outros.
Descoberta que todas as doenças se apresentam em duas fases
Ele descobriu que todas as doenças apresentam duas fases e possuem uma correlação direta com a quantidade de tempo que o paciente está em conflito e também de acordo com sua intensidade.
Dr. Hamer descobriu também que a natureza exata do conflito é que predetermina qual parte do cérebro e especificamente qual órgão correlacionado será afetado.
Em seus estudos, na primeira fase, a fase ativa do conflito, o paciente geralmente vivenciava o que conhecemos como doenças frias, como angina pectoris, alguns tipos de câncer ou perda funcional, como diabetes, hipoglicemia ou esclerose múltipla.
Os pacientes experimentaram mãos e pés frios, perda de peso e insônia a partir das 3 horas da manhã. Eles estavam no que o Dr. Hamer chamava de simpaticotônia.
De acordo com Dr. Hamer, a segunda fase só ocorre quando e se o conflito for resolvido.
Esta fase é a fase quente, ou vagotônia, como o médico nomeou, onde o paciente experimenta mãos e pés quentes, dorme bem e passa a ter apetite novamente.
A segunda fase é quando o paciente desenvolve os principais sintomas, como inflamação, febre, infecção, artrite, dores de cabeça, leucemia ou câncer de mama.
Quando começaram os estudos de Dr.Hamer para saber como surge o câncer?

foto: https://yourbodyisperfectintelligence.wordpress.com/category/german-new-medicine/
A pesquisa de Dr. Hamer começou oficialmente no hospital universitário em Munique, onde ele foi chefe internista na clínica de câncer.
O médico estava se recuperando do câncer de um dos testículos e instintivamente sentiu que sua ocorrência estava relacionada a um evento muito dramático que tinha ocorrido em sua vida.
O evento dramático foi a morte de seu filho Dirk, que havia sido baleado pelo príncipe herdeiro italiano da casa de Savoy.
Mas como surge o câncer? Nesse hospital, ele foi capaz de entrevistar todos os pacientes com câncer de órgãos reprodutivos e descobriu que todos eles tiveram eventos dramáticos muito semelhantes em suas vidas antes do diagnóstico de sua doença.
Foi quando ele descobriu que esses tipos específicos de conflitos criavam tipos específicos de câncer no corpo.
O que ele quis dizer com conflito? Um conflito biológico é diferente de um conflito psicológico, sendo uma resposta primordial a um acontecimento na vida de um indivíduo que o pega totalmente de surpresa.
Com isso, ele descobriu a Primeira Lei Biológica, “A Regra de Ferro do Câncer”, como ele mesmo nomeou, que envolve o impacto imediato de um evento inesperado na psique, cérebro e órgão de forma simultânea.
Esses conflitos biológicos são relacionados as seguintes coisas:
- Uma separação de um ente querido,
- Uma autodesvalorização;
- Uma perda territorial,
- Um medo profundo,
- Uma luta por algo que acreditamos que nos pertence.
O médico descobriu que as respostas biológicas foram pré-programadas em nossos cérebros e responsáveis pela criação da maioria dos estados de doença com os quais estamos familiarizados atualmente.
Dr. Hamer chamou o conflito biológico de choque de DHS (Síndrome de Dirk Hamer).
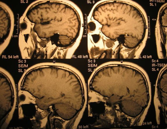
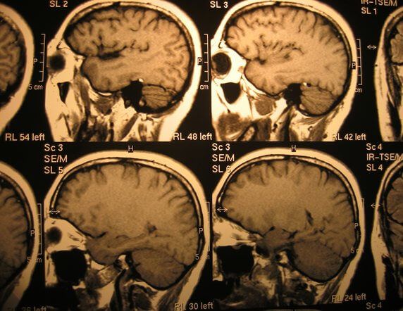
No momento do DHS, uma configuração de anel alvo aparece em um revezamento cerebral específico, dependendo da natureza exata do conflito, e começa a desencadear uma seqüência de eventos no corpo físico.
O que ocorre fisiologicamente depende da área do cérebro em que esse DHS causou seu impacto. Estes anéis alvo são visíveis em alguns casos até mesmo para o olho destreinado e foram originalmente pensados como “artefatos” nos TCs do cérebro.
Tratamentos para o câncer
Dr. Hamer explica que a causa do crescimento do tumor tem relação com os impactos vividos pelo indivíduo em sua vida, quando ocorre algo dramático e inesperado, chamado de DHS.
Com isso, verificamos que o câncer é uma resposta do nosso corpo perante a algo que aconteceu de inesperado em nossa vida, cada órgão tem relação com um conflito específico.
Assista o vídeo abaixo, o qual eu falo sobre tratamentos para o câncer:
Conclusão
Espero que você tenha compreendido como surge o câncer de acordo com a Germânica Heilkunde e pesquisas de Dr. Hamer.
Achou útil o artigo? Compartilhe com seus amigos ou pacientes para que possamos ajudar mais pessoas a terem conhecimento sobre a Nova Medicina Germânica.
>>>Quer ter um maior conhecimento da Germânica Heilkunde? Participe da nossa próxima turma Germânica Heilkunde Formação Online.Este blog é apenas um blog educativo. As informações e serviços aqui contidos não devem ser interpretados como um diagnóstico, tratamento, prescrição ou cura para a doença. Aqueles que buscam tratamento para uma doença específica devem consultar seu médico para determinar o protocolo de tratamento adequado, correto e aceito antes de usar qualquer coisa que é divulgado nesta página. O material referenciado acima reflete a convicção sincera da Dra. Marina Bernardi sobre esta nova medicina.